
口腔粘膜炎は、がん治療において高頻度に発現する有害事象であり、がん専門病院の歯科において対応の依頼が多い病態の一つである。がん治療に伴う口腔粘膜炎の多くはGrade1~2程度であり、他の有害事象と比較して軽視されがちではあるが、重症化すると摂食や会話を妨げ患者のQOLを悪化させる1)、潰瘍部からの全身感染症への波及リスクを増大させる2, 3)、時にはがん薬物治療の用量制限の原因になるなど、様々な悪影響4, 5)が報告されており、がん患者の治療と生活を支援する上で、口腔粘膜炎のマネジメントの必要性は極めて高い。
がん治療に伴う口腔粘膜炎の予防や治療の方法は未だ確立されておらず、含嗽や軟膏塗布、口腔衛生指導のみで対応しているケースが多い。
口腔粘膜炎の基本となる治療戦略は、口腔粘膜炎の発症をゼロにすることではなく、重症化を抑えて、がん治療への悪影響をできる限り少なくすることにある。がん支持医療の国際学会であるMASCC/ISOOは、粘膜炎が重症化してがん治療に悪影響を与えるカスケード6)を示し、すべての口腔粘膜炎に共通して適用される基本の対応として、この重症化のカスケードが下流に進まないよう、抑制に努めることを述べている。その具体的な内容を整理して述べる。
粘膜の潰瘍形成は、同部への機械的刺激が発症のトリガーとなることがある。
粘膜が脆弱化し、唾液分泌が低下して粘膜に擦過傷を形成しやすい状況となっており、う蝕による歯の鋭縁部や、不適合な歯科補綴物(義歯や金属冠など)、歯並びが悪い部分の歯や歯周病で動揺している歯などは、粘膜との擦過が潰瘍形成のトリガーとなる。口腔内の保湿の励行は、粘膜との潤滑性を高めて擦過を軽減し、粘膜を保護することに繋がる。がん治療開始前に歯の鋭縁部の研磨や動揺歯の処置、義歯の不具合の調整など粘膜への機械的刺激となりうる箇所を減らす歯科的な応急処置を講じておくことも重要である。
潰瘍部分に感染が成立すると、粘膜炎の疼痛は悪化し、治癒が阻害されて病態が遷延するなど、重症化の大きな一因となるだけでなく、骨髄抑制期の潰瘍局所の感染は容易に周囲臓器に波及し、全身感染症に至るリスクがある。口腔粘膜炎の評価の際は常に局所感染の有無、程度を考慮し、局所感染が成立しないよう口腔衛生管理に努め、感染が成立している場合は迅速に感染症に対する治療を行う。局所感染の有無の評価には、疼痛の質、発症部位や時期、特異的な粘膜所見の有無などに留意する7)。
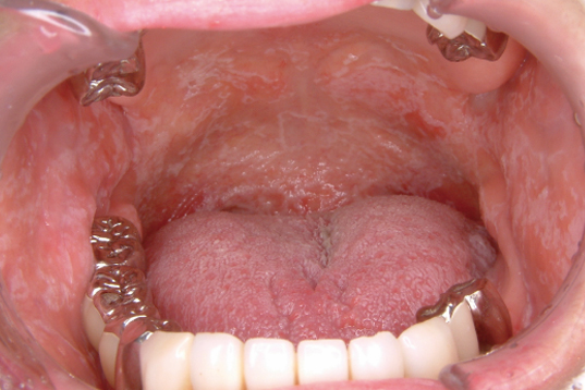
口腔の感染症には一般的な細菌を起因菌とする感染症だけでなく、カンジダやヘルペスといった特異的な微生物による感染症もあり、特に口腔のカンジダ感染症は頻度が高く留意が必要である8)。カンジダ感染症の典型的な症例では、粘膜上に白色~黄色の偽膜を形成することが多い。


上野尚雄先生ご提供
口腔の感染制御に最も有効な方法は、物理的な汚染物の除去(デブリードメント)であり、その具体的な方法は患者自身によるブラッシングの励行である。患者個々人の口腔内の状態に合わせた、適切なブラッシング方法を指導し、習慣化してもらう。また、口腔内にはブラッシングでは除去不能な細菌性汚染物(歯石など)もある。がん治療開始前に歯科にコンサルトし、専門的な口腔衛生処置によってそれらの汚染物を清掃除去しておくことで、口腔内の感染リスクを大幅に低下させることができる9, 10)。
粘膜炎で疼痛がある際の清掃は、表面麻酔薬の外用などによって疼痛を緩和させた上で、患部を避ける形で清掃を行う。使用するブラシは粘膜への接触刺激の少ない小さなものを選択し、疼痛が重度の場合や、出血がある場合は、無理をせず小綿球で優しく拭う程度にとどめることもある。
疼痛は、感染とともに口腔粘膜炎の重症化カスケードの一翼を担い、摂食障害による体重減少や栄養状態の悪化を介してがん治療に悪影響を及ぼす6)。疼痛のGradeに応じて適切な緩和処置を行う。
| グレード | 対処 | 具体的な疼痛コントロール方法 |
|---|---|---|
| 軽症 グレード1 |
含嗽 |
|
| 中等症 グレード2 |
含嗽+鎮痛剤 |
|
| 重症 グレード3・4 |
含嗽+鎮痛剤 +医療用麻薬 |
|
浅井昌大他. 頭頸部がん化学放射線療法をサポートする口腔ケアと嚥下リハビリテーション. オーラルケア, 2009. より一部改変
軽度の疼痛や違和感は、口腔内の保清・保湿を励行するだけで緩和することもある。口腔粘膜炎の疼痛は侵害受容性疼痛が中心なため、必要に応じNSAIDsやアセトアミノフェン、オピオイドの使用を積極的に行う。食事時や会話時の接触痛・動作時痛が強い場合は、リドカインなどの表面麻酔薬の外用や、口腔粘膜保護材(エピシル®)の使用を考慮する。
エピシル®は、唾液の水分と反応して口腔粘膜上に創部を物理的に保護する接着性の被膜を形成することで、接触時や動作時の疼痛を緩和する医療機器である。鎮痛作用を有する薬効成分を一切含有していないため、がん治療中の患者にも適用しやすく、また疼痛緩和効果の持続時間が長いという特徴がある11)。粘膜障害マネジメントの手引き2020年版では「口腔粘膜炎が軽度~中等度の状態から使用を検討し、また、重度の口腔粘膜炎でも有効な可能性がある」12)と記載されている。患者のQOLの観点からは、Grade1のような軽症の段階から使用を開始し、使い慣れてもらうとよい。
口腔内の保清と保湿は口腔粘膜炎の対応の基本であり、かつ重要な手技である。
前述のように、口腔清掃の中心は患者自身による歯ブラシを用いたブラッシングである。清潔な口腔内を維持するために、患者には1日3回、食事の経口摂取の有無に関わらずブラッシングを励行するように指導する。
歯ブラシを用いるブラッシングが口腔ケアの基本
1日3回が基本。経口摂取の有無に関わらず磨く
上野尚雄先生ご提供
また口内の保湿も重要である。抗がん剤は唾液腺にも障害を及ぼすため、唾液の分泌が低下し口腔内は乾燥状態となる。その結果、口内細菌の増加、細菌叢の変化により粘膜への細菌定着が亢進するとともに、潤滑性の低下により擦過傷が生じやすくなる。また、粘膜の萎縮や疼痛の悪化により創傷治癒は遷延する。Sogaら13)は、この状況に対して口腔内を保湿するだけでも粘膜炎症状は改善するとしている。含嗽剤は、粘膜への刺激が少ない生理食塩水や重曹(炭酸水素ナトリウム)などの含嗽が望ましい。クロルヘキシジンの含嗽は使用しないことがガイドラインでは推奨されている。
どんな含嗽薬が良い?
①1Lのペットボトルを水で洗浄
②9gの食塩を量り入れる
③溶けるまでよく振る
※ 作成した含嗽薬は冷蔵庫などで保管する。使用時は直接口をつけないよう留意し、数日で使い切るようにする。
上野尚雄先生ご提供
薬物投与中に氷を口腔内に含み、毛細血管を収縮させることで抗がん剤の粘膜への到達を阻害する方法である14)。 半減期の短い抗がん剤を用いる化学療法で有効性が期待される。口腔粘膜炎に対するクライオセラピーの効果について肯定的な結果を示すランダム化対照試験(RCT)もあり、その有効性は確立されつつある。
諸外国では口腔冷却時の不快感軽減も期待した口腔内冷却装置が臨床応用され始めている15)。
PBM(LLLT)は、低出力レーザーの持つ創傷治癒、再生、および免疫反応の促進効果と、炎症、疼痛の抑制効果に期待するもので、造血幹細胞移植や頭頸部がん患者への放射線治療あるいは化学療法による口腔粘膜炎の予防に使用することがガイドライン等で推奨されている16)。
Oberoiら17)によるメタ解析では、プラセボ/無治療群に比べ、LLLT群における重度(Grade 3/4)の口腔粘膜炎の発現率、平均重症度、病悩期間、疼痛発現率等がいずれも有意に低減されたと報告されている。
| Outcome | NumberStudies | NumberPatients | Effect | 95% CI\ | I2 | P |
|---|---|---|---|---|---|---|
| Overall incidence of severe (grade 3 or 4) mucositis | 10 | 689 | RR 0.37 | 0.20 to 0.67 | 80% | 0.001 |
| Incidence of severe (grade 3 or 4) mucositis at anticipated time of maximal mucositis* | 6 | 546 | RR 0.34 | 0.20 to 0.59 | 62% | 0.0001 |
| Overall mean grade of mucositis | 8 | 603 | SMD -1.49 | -2.02 to -0.95 | 86% | <0.0001 |
| Duration of severe (grade 3 or 4) mucositis | 3 | 361 | WMD -5.32 | -9.45 to -1.19 | 94% | 0.01 |
| Incidence of any pain | 7 | 591 | RR 0.89 | 0.76 to 1.04 | 96% | 0.15 |
| Incidence of severe pain** | 2 | 331 | RR 0.26 | 0.18 to 0.37 | 0% | <0.0001 |
| Overall mean pain scores | 5 | 222 | WMD -2.46 | -4.41 to -0.77 | 97% | 0.004 |
| Number of patients requiring opioid analgesia | 5 | 530 | RR 0.47 | 0.37 to 0.60 | 0% | <0.0001 |
| Unplanned radiotherapy interruption due to mucositis in head and neck cancer patients | 5 | 560 | RR 0.23 | 0.12 to 0.44 | 0% | <0.0001 |
Abbreviations:RR - risk ratio;SMD - standardized mean difference;WMD - weighted mean difference;CI - confidence interval
* Maximum anticipated mucositis was week 6±1 in head and neck cancer radiotherapy/chemo-radiotherapy trials and day 10±4 in chemotherapy and hematopoietic stem cell transplantation trials(from date of chemotherapy initiation and stem cell infusion respectively).
** Severe pain defined as a visual analogue scale score >7.
¥ All analyses used a random-effect model. A risk ratio <1 and a standardized mean difference or weighted mean difference <0 with 95% CIs that do not include 1 or 0 respectively, suggest that low level laser is better than placebo/no therapy.
doi:10.1371/journal.pone.0107418.t002
Oberoi S, et al. PLoS One 2014;9(9):e107418
創傷治癒の過程には様々な栄養素が関係し、必要とされる。静脈経腸栄養ガイドライン(日本静脈経腸栄養学会)では「栄養管理は褥瘡の治療に有効であるので、積極的に使用する」としている。創傷治癒促進の観点からは、口腔粘膜炎に対しても考慮すべき事項であると考える。実際に成分栄養剤の積極的使用が、重度粘膜炎の発症率を有意に下げた、という多施設共同で行われた無作為化比較試験も報告されている。
ガイドラインで推奨されている栄養療法として、グルタミンの内服が挙げられる18)。無作為化比較試験での有効性が報告されており、頭頸部がん患者の放射線・化学放射線治療による口腔粘膜炎の予防に使用を提案されている。しかしグルタミンの経静脈投与は、現病の治療への悪影響の懸念から、行うべきではないとされている。
亜鉛の持つ粘膜の修復作用・保護作用などの薬理作用に期待するもので、2014年版のガイドラインでは「頭頸部がん患者の放射線/化学放射線治療による口腔粘膜炎の予防に弱く推奨する」と提言されていたが、その後結果が相反する無作為化比較試験の報告があり、2019年版では一旦「ガイドラインなし」に修正された18)。しかしこれは有効性を否定するものではなく、症例によっては使用を検討する意義はあろうと思われる。
TNFα、IL-1β、NFkB、COX-2などの炎症性サイトカインは、粘膜炎の発症・増悪において中心的な役割を果たす。これらを抑制するNSAIDsやステロイドといったいわゆる抗炎症薬には口腔粘膜炎の制御が期待される19)。ガイドラインで唯一推奨されている抗炎症薬はbenzydamine(エビデンスレベル1)だが、日本では未承認である。ステロイドやレバミピド(胃炎・胃潰瘍治療薬)については「ガイドラインなし」となっている。ステロイドの外用は、本邦ではよく用いられる薬剤であるが、骨髄抑制を伴う口腔粘膜炎では局所感染がないことに留意して使用し、漫然と継続しない20)。mTOR阻害薬による口腔粘膜炎(口内炎)に対しては、ステロイドの有効性が報告されている21, 22)。
口腔粘膜炎は抗がん薬物治療や頭頸部がん放射線治療において高頻度に生じる用量制限毒性である。患者のQOLを低下させ、感染症発症のトリガーとなり、円滑ながん治療を妨げる。対応の基本は感染制御と疼痛緩和であり、その上で、ガイドラインの提言を取り入れてゆくことを検討する。口腔粘膜炎のマネジメントは、治療開始前から歯科と連携して行うことが望ましい。
明確な報告・エビデンスはありませんが、エピシルは粘膜上に保護膜を形成いたしますので、他剤と併用するのであれば他剤を全て使用した上で一番最後に使用するのが理にかなっていると思われます。もともとドラッグデリバリーのために用いられた機器ですので、併用の禁忌はありません。
閉じる
診断:臨床的診断(compromised hostの背景、口腔内の乾燥や不衛生・粘膜変化、ヒリヒリとした鈍い自発痛、食事時にしみるなどの自覚症状)、スワブによる培養検査などから総合的に判断します。
治療:抗真菌薬の使用が中心になります。表在性のカンジダ感染は外用薬でも奏効します。カンジダは口腔に常在していることも多く、並行して口腔管理(口腔清掃、保湿、義歯の清掃消毒など)を行い、感染制御・再燃予防に努めます。
閉じる
ヨード含嗽は、粘膜炎に対して禁忌というわけではありませんが(粘膜炎への有効性を示す報告もあります)、刺激があるために含嗽時の疼痛を惹起し、うがいのコンプライアンスを下げてしまうかもしれません。かといってヨード含嗽は濃度を薄めてしまうとその有効性は消失します。患者さんのCOVID-19の感染への不安にも理解を示した上で、「粘膜炎でヨード含嗽が少ししみてくるようであれば、一時的に粘膜に優しいうがいに変えてみませんか」と変更を促します。
閉じる
含嗽や軟膏、各種保湿剤などによる粘膜保護を行います。しかし歯や補綴物(義歯や金属冠など、口腔内の人工物)の問題は、歯科でないと解決できません。なぜ歯科受診をしたくないのか、お気持ちを伺った上で、それが患者さんの誤解から来るものであれば、正しい情報を提供してゆく(歯科受診は悪い歯を全部治療するためではなく、負担にならない範囲でがん治療の妨げとなりそうな部位だけを応急的に処置するためであるなど)、またがん主治医からも歯科受診を促して頂くなどの対応が考えられます。
閉じる
ケアの際の患者さんへの負担をできるだけ減らすよう努めます。
口内に問題のない、ケアの受け入れの良い段階から歯科と連携し、適切な歯磨きやうがいを習慣づけるための介入を行い、予防に努めて粘膜炎発症時に備えるといった先手・先手の対応が望ましいと考えます。
閉じる
円滑ながん医科歯科連携のための今後の課題として、以下を考えます。
閉じる
閲覧履歴